ICD-Code A16.8: Sonstige Tuberkulose der Atmungsorgane ohne Angabe einer bakteriologischen, molekularbiologischen oder histologischen Sicherung

Sie haben Tuberkulose in den Atemwegen.

Die Tuberkulose wird auch kurz als TBC bezeichnet. Die Tuberkulose wird durch bestimmte Bakterien ausgelöst. Die Bakterien werden beispielsweise durch Husten und Niesen übertragen. Die Bakterien können sehr lange unbemerkt im Körper bleiben. Sie können aber auch starke Entzündungen verursachen. Die Bakterien lösen vor allem dann Beschwerden aus, wenn das Abwehrsystem des Körpers geschwächt ist. Eine Tuberkulose kann zum Beispiel Fieber, Husten und ein Schwächegefühl auslösen. Man kann auch Gewicht verlieren und sich sehr müde fühlen.

Ihre Atemwege oder das Bindegewebe um Ihre Lunge herum haben sich durch die Tuberkulose entzündet.

Zusatzkennzeichen

Auf ärztlichen Dokumenten wird der ICD-Code oft durch Buchstaben ergänzt, die die Sicherheit der Diagnose oder die betroffene Körperseite beschreiben.

  • G: Gesicherte Diagnose
  • V: Verdacht
  • Z: Zustand nach
  • A: Ausschluss
  • L: Links
  • R: Rechts
  • B: Beidseitig

Weitere Informationen

Hinweis

Diese Informationen dienen nicht der Selbstdiagnose und ersetzen keinesfalls die Beratung durch eine Ärztin oder einen Arzt. Wenn Sie einen entsprechenden ICD-Code auf einem persönlichen medizinischen Dokument finden, achten Sie auch auf Zusatzkennzeichen für die Diagnosesicherheit.
Ihre Ärztin oder Ihr Arzt hilft Ihnen bei gesundheitlichen Fragen weiter und erläutert Ihnen bei Bedarf die ICD-Diagnoseverschlüsselung im direkten Gespräch.

Quelle

Bereitgestellt von der „Was hab’ ich?“ gemeinnützigen GmbH im Auftrag des Bundesministeriums für Gesundheit (BMG).

Gut informiert Weitere Artikel

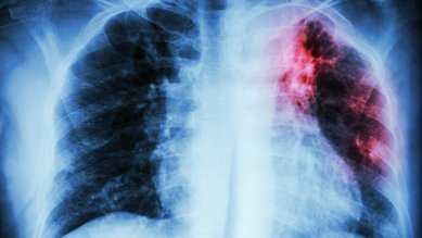
Tuberkulose: Eine Röntgenaufnahme des Brustkorbs. Eine rot-schwarze Verfärbung im linken Lungenflügel weist auf eine Tuberkuloseinfektion hin. Tuberkulose: Eine Röntgenaufnahme des Brustkorbs. Eine rot-schwarze Verfärbung im linken Lungenflügel weist auf eine Tuberkuloseinfektion hin.

Tuberkulose

Tuberkulose ist eine bakterielle Infektionskrankheit, die unter anderem die Lunge befällt. In Deutschland tritt sie relativ selten auf.