ICD-Code I60.3: Subarachnoidalblutung, von der A. communicans posterior ausgehend

In Ihrem Kopf hat es zwischen den weichen Hirnhäuten geblutet.

Außen auf dem Gehirn und dem Rückenmark liegen 3 dünne Hirnhäute. Ganz außen liegt eine harte Haut. Darunter liegen 2 weiche Häute. Es gibt verschiedene Ursachen für eine Blutung zwischen den weichen Hirnhäuten. Eine Schlagader im Gehirn kann beispielsweise erweitert sein. Diese erweiterte Schlagader hat eine dünnere Wand und kann schneller reißen als eine normale Schlagader. So kann es zu einer spontanen Blutung zwischen den weichen Hirnhäuten kommen. Das ist eine Form des Schlaganfalls. Es kann auch nach einem Unfall zu einer Blutung zwischen den weichen Hirnhäuten kommen.

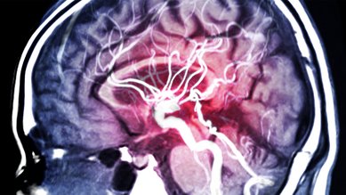
Schlagadern sind Blutgefäße, die Blut vom Herzen weg befördern. Sie versorgen alle Gewebe des Körpers mit sauerstoffreichem Blut. Im Gehirn gibt es auf jeder Seite 3 große Schlagadern, die den größten Teil des Gehirns mit Blut versorgen. Die Schlagadern verlaufen jeweils vorn, in der Mitte und hinten am Gehirn. Sie sind durch kleinere Schlagadern miteinander verbunden. Bei Ihnen hat es aus einer Schlagader geblutet, die jeweils die mittlere und die hintere Schlagader des Gehirns verbindet.

Wenn es im Kopf blutet, kann Hirngewebe geschädigt werden. Dadurch kann man verschiedene Beschwerden haben. Die Beschwerden sind abhängig vom genauen Ort und der Größe der Blutung. Es können plötzlich sehr starke Kopfschmerzen auftreten. Möglicherweise breiten sich die Schmerzen auch in den Nacken aus. Man kann auch schläfrig oder bewusstlos werden.

Zusatzkennzeichen

Auf ärztlichen Dokumenten wird der ICD-Code oft durch Buchstaben ergänzt, die die Sicherheit der Diagnose oder die betroffene Körperseite beschreiben.

  • G: Gesicherte Diagnose
  • V: Verdacht
  • Z: Zustand nach
  • A: Ausschluss
  • L: Links
  • R: Rechts
  • B: Beidseitig

Weitere Informationen

Hinweis

Diese Informationen dienen nicht der Selbstdiagnose und ersetzen keinesfalls die Beratung durch eine Ärztin oder einen Arzt. Wenn Sie einen entsprechenden ICD-Code auf einem persönlichen medizinischen Dokument finden, achten Sie auch auf Zusatzkennzeichen für die Diagnosesicherheit.
Ihre Ärztin oder Ihr Arzt hilft Ihnen bei gesundheitlichen Fragen weiter und erläutert Ihnen bei Bedarf die ICD-Diagnoseverschlüsselung im direkten Gespräch.

Quelle

Bereitgestellt von der „Was hab’ ich?“ gemeinnützigen GmbH im Auftrag des Bundesministeriums für Gesundheit (BMG).

Gut informiert Weitere Artikel

Menschliches Gehirn im Querschnitt: Blutgefäße und Hirnschlagader sind sichtbar. Menschliches Gehirn im Querschnitt: Blutgefäße und Hirnschlagader sind sichtbar.

Hirnaneurysma

Ein Hirnaneurysma ist eine Ausbuchtung einer Schlagader im Gehirn. Oft bleibt das unbemerkt und ohne Beschwerden. Reißt das Aneurysma, kommt es zu einer lebensbedrohlichen Hirnblutung.